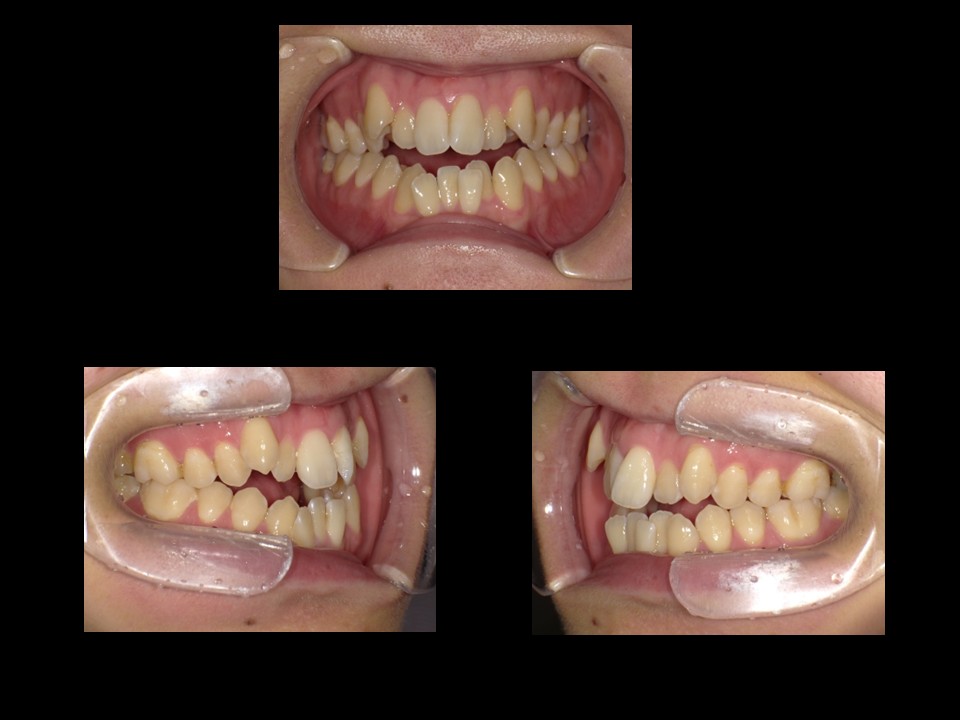
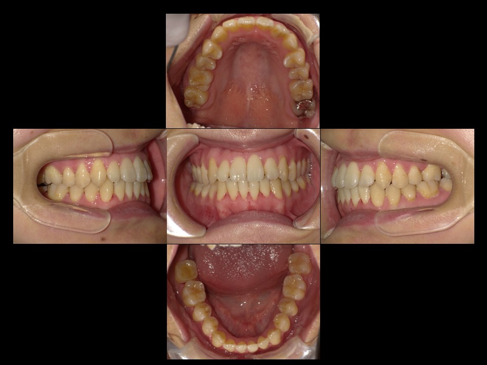
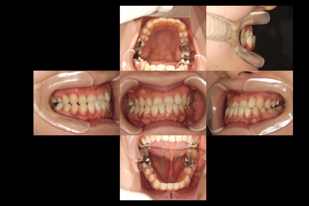
主訴:叢生
左側の写真:治療前/右側の写真:治療後
治療期間:16カ月


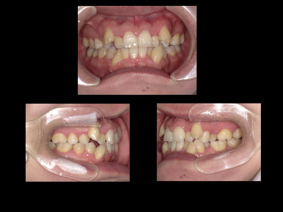
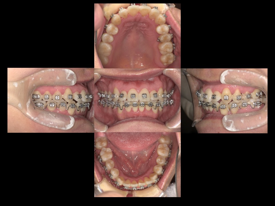
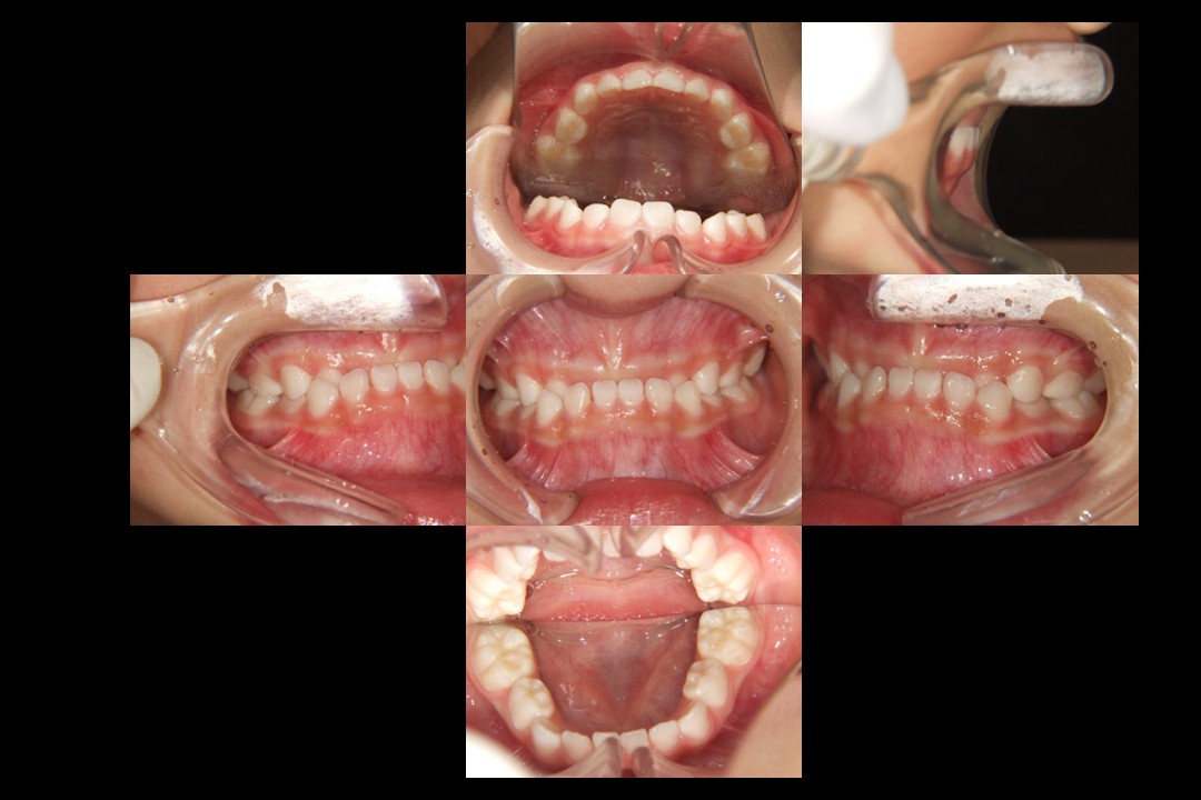
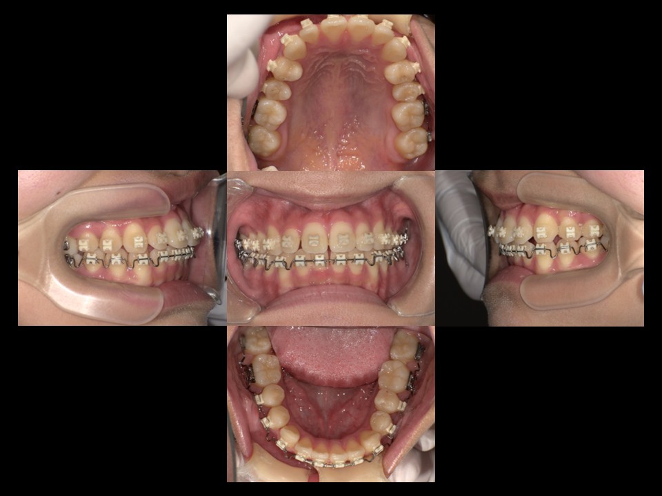
主訴:開口
左側の写真:治療前/右側の写真:治療後
治療期間:35カ月


主訴:受け口
左側の写真:治療前/右側の写真:治療後
治療期間:33カ月


乳歯歯列期から、永久歯まで顎位を調整しながら経過観察を試みた症例
左側の写真:治療前/右側の写真:治療後
治療期間:12年9カ月


主訴:上顎前突
左側の写真:治療前/右側の写真:治療後
治療期間:24カ月


主訴:歯並びがガタガタ
左側の写真:治療前/右側の写真:治療後
治療期間:12カ月


歯列矯正治療のリスクについて
矯正歯科治療は、歯並びや噛み合わせを改善することで、見た目の美しさ(審美性)だけでなく、お口の健康(機能性)を長期的に維持しやすくするための治療です。しかし、他の医療と同様に、すべての治療には潜在的なリスクや副作用が存在します。当院では、治療を開始する前に患者様お一人おひとりの口腔状態を精密に検査・診断し、治療計画とともに考えられるリスクについても十分にご説明いたします。以下は、矯正治療に伴う可能性のある一般的なリスク・副作用です。これらがすべての方に当てはまるわけではありませんが、予めご理解いただくことが重要です。
治療中に生じる可能性のあること
痛み・違和感・不快感
装置を初めて装着した際や、ワイヤーの調整を行った後、歯が動くことによる痛みや圧迫感、歯が浮いたような違和感が出ることがあります。通常、数日~1週間程度で慣れていきます。
虫歯・歯周病(歯肉炎・歯周炎)
固定式の装置(ブラケットやワイヤー)を装着すると、歯磨きがしにくくなります。清掃が不十分な場合、虫歯や歯肉炎のリスクが高まります。日々の丁寧なセルフケアと、歯科医院での定期的なクリーニングが不可欠です。
口内炎・粘膜の傷
装置が頬、唇、舌の粘膜に擦れることで、口内炎ができたり、傷がついたりすることがあります。多くの場合、装置に慣れることで改善しますが、必要に応じて対応いたしますので、ご相談ください。
発音への影響
一時的に発音がしにくくなる(サ行、タ行など)ことがあります。多くは徐々に慣れていきます。
食事の制限
特にワイヤー矯正の場合、装置の破損を防ぐため、硬い食べ物(煎餅、ナッツなど)や粘着性の高い食べ物(キャラメル、ガムなど)は避けていただく必要があります。
治療過程および治療結果に関するリスク
歯根吸収
歯が骨の中を移動する際、歯の根(歯根)の先端がわずかに短くなる(吸収される)可能性があります。多くの場合、歯の寿命や機能に影響はありませんが、稀にその程度が大きくなることもあります。
歯髄失活
非常に稀ですが、歯を移動させる力によって歯の神経(歯髄)がダメージを受け、失活(神経が死んでしまうこと)する可能性があります。
ブラックトライアングル
もともと歯が重なっていた部分や、加齢・歯周病により歯茎が下がっている場合、歯並びが整うことで歯と歯茎の間に黒い三角形の隙間(ブラックトライアングル)が見えるようになることがあります。
アレルギー反応
装置に使用される金属(ニッケルなど)や、その他の材料(ゴム、接着剤など)に対して、稀にアレルギー反応(粘膜の荒れ、発疹など)が出ることがあります。
治療期間の延長
歯の動き方には個人差があります。また、装置の破損、装置の使用時間(マウスピースやゴムかけなど)の不足、定期的な通院の中断などにより、当初の予定より治療期間が延長する可能性があります。
治療終了後のリスク
後戻り(あと戻り)
治療によって動かした歯は、元の位置に戻ろうとする性質があります。治療終了後、歯並びを安定させるための保定装置(リテーナー)を指示通りに使用しない場合、歯並びが再び乱れる「後戻り」が生じるリスクがあります。
掲載している症例について
* 掲載している症例写真は、あくまで一例であり、治療結果には個人差があります。
* 治療に関するご不安やご不明な点は、どのようなことでもカウンセリング時にお気軽にご相談ください。